STP News Blog

Male and Female 35 and 70 Day Old Sprague Dawley Rats

By Tierre Miller posted 04-05-2023 11:49

  

Male and Female 35 and 70 Day Old Sprague Dawley Rats

SIGNALMENT:
male and female 35 and 70 day old Sprague Dawley rats

TREATMENT PROTOCOL:
These rats were the offspring(F1) of a group of rats which were fed PCBs(Aroclor 1254) from day 0 of pregnancy until weaning at 23 days of age. The Aroclor was incorporated into their lab chow to deliver a dose of 15 mg / kg/ day. The rats were necropsied at 35(427 female, 2503 male, 5507 female) and 70(2005 female, 6703 male) days of age.

GROSS PATHOLOGY:
No changes noted

LABORATORY RESULTS:
None available

    What's Your Diagnosis? Provide your possible etiologies in the comment section below. Member login is required to comment.

    Focal fibrosis and hepatocellular atrophy

    70 day male 40 obj H&E. Focal fibrosis and hepatocellular atrophy

    Focal fibroacinar formation
    70 day female 40 obj H&E. Focal fibroacinar formation
    35 day male 20 obj  H&E

    35 day male 20 obj H&E . Focal fibroacinar formation

    35 day female 20 obj H&E

    35 day female 20 obj H&E . Hepatocellular adenocarcinoma formation with invasive growth

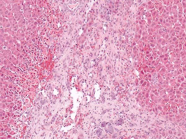
    35 day female 10 obj H&E
    35 day female 10 obj H&E .Generalized hepatocellular adenocarcinoma
    35 day female 40 obj H&E
    35 day female 40 obj H&E. Hepatocellular acinar formation
    35 day female 5 obj Masson Trichrome stain
    35 day female 5 obj Masson Trichrome stain.Abundant liver fibrosis associated with adenocarcinoma

    MORPHOLOGIC DIAGNOSI(E)S AND ETIOLOGY: 

    1. Liver , focal fibrosis and hepatocellular atrophy, mild (6703)
    2. Liver , focal fibroacinar formation (2503, 2005)
    3. Liver , hepatocellular adenocarcinoma , focal(5507) and diffuse (427)
    4. Liver , hepatocellular acinar formation(427)

    Etiology: PCBs - Aroclor 1254 ingestion

    CONTRIBUTOR: Anonymous

    CONTRIBUTOR'S COMMENTS: 
    (Proposed pathogenesis of the lesion(s), important considerations and diagnostic features, discussion of controversial issues).

    PCBs have been well documented to be carcinogenic in laboratory animals and may be carcinogenic in humans(1,2) In these liver slides a range of lesions is present including : (1) focal hepatocellular atrophy with loss of hepatocytes and fibrosis (2) focal fibroacinar formation (3)hepatocellular acinar formation (4) hepatocellular adenocarcinoma formation. The ability of hepatocytes to transform into acinar structures was a striking feature. 

    REFERENCES:

    1. U.S. Environmental Protection Agency (Sept 1996) PCBs : Cancer Dose-Response Assessment and Application to Environmental Mixtures Report No. EPA/600/P - 96 /001F
    2. ATSDR (Agency for Toxic Substances and Disease Registry) (Nov 2000) Polychlorinated Biphenyls (Update)

      0 comments
      49 views